Photo Gallery »
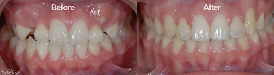
Crowding

Move your mouse over the image to zoom in.
All photos are untouched and are of patients we have treated.
SELECT title,description1,description2 FROM taylorshamloo_photogallery WHERE id = '2'