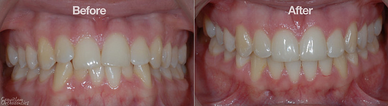
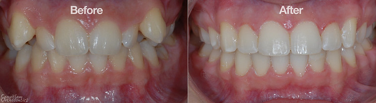
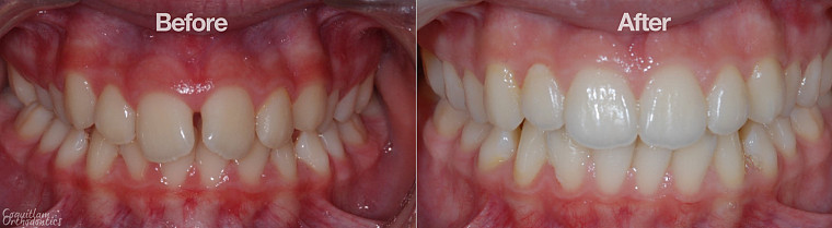
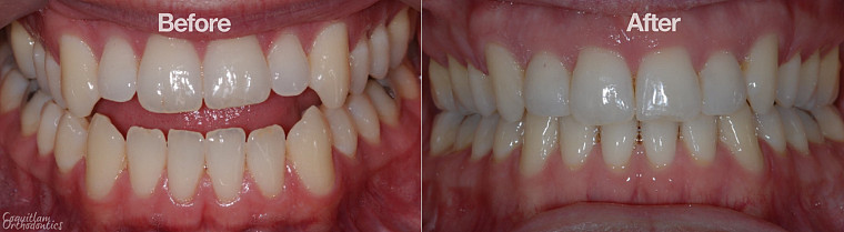
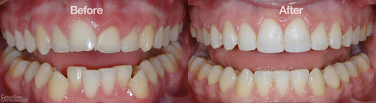
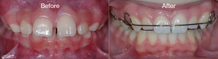
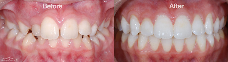
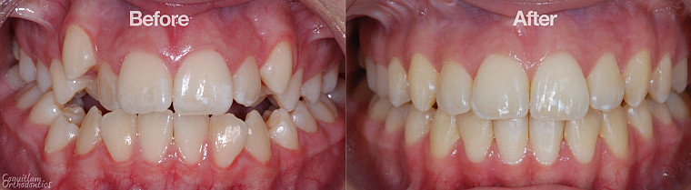
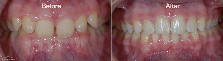
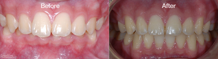
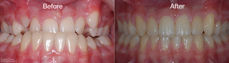
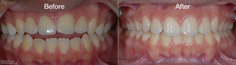
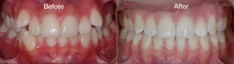
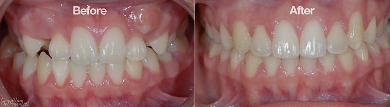
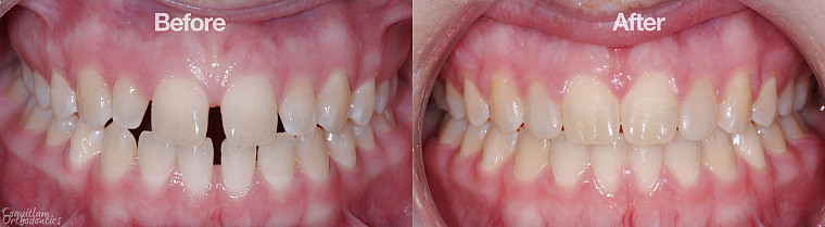
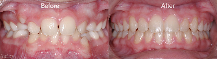
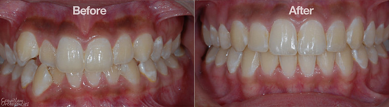
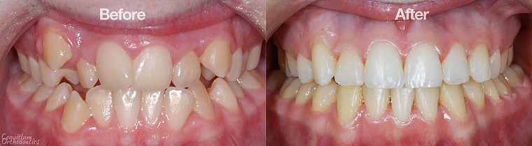
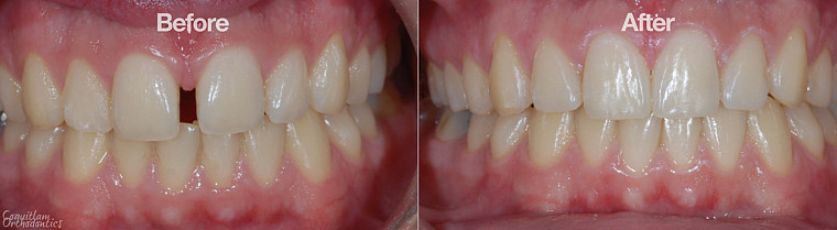
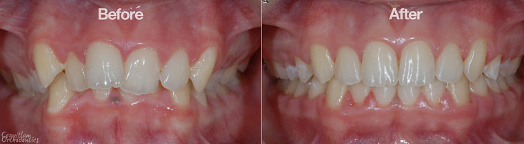
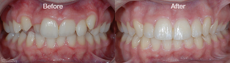
Photo Gallery

All photos are untouched and are of patients we have treated.